Dental Clinic Guatemala

Services

Permite que tus tejidos dentales se mantengan limpios todo el tiempo.

La peridoncia es la especialidad odontológica que estudia la prevención, diagnóstico y tratamiento de las enfermedades que afectan los tejidos que dan soporte a los dientes (encía, ligamento periodontal, cemento radicular y hueso alveolar) y a los substitutos implantados, para el mantenimiento de la salud, función y estética.

Tratamiento de dientes fracturados o lastimados.

Es la especialidad odontológica que se dedica a la extirpación parcial o total de la pulpa dental, y la obturación tridimensional del conducto dentario, cuyo fin es conservar el mayor tiempo posible las piezas afectadas en boca. Se aplica en piezas dentales fracturadas, con caries profundas o lesionadas en su tejido pulpar en las que se da una sintomatología característica, pulpitis (inflamación del nervio que causa dolor).

Previene y corrige las alteraciones en tus dientes con tratamientos adecuados.

La ortodoncia es una ciencia que se encarga de todo estudio, prevención, diagnóstico y tratamiento de las anomalías de forma, posición, relación y función de las estructuras dentales y maxilofaciales; siendo su ejercicio el arte de prevenir, diagnosticar y corregir sus posibles alteraciones y mantenerlas dentro de un estado óptimo de salud y armonía, mediante el uso y control de diferentes tipos de fuerzas.

Protege tu boca de las enfermedades y microbios.

Parte de la odontología, es la ciencia que se encarga del estudio y conocimiento del medio bucal y sus implicaciones microbiológicas e inmunológicas en la prevención de enfermedades como la caries dental, entre otras.

Dientes sustitutos para regenerar tu sonrisa.

Es un producto en forma de tornillo destinado a ser el sustituto artificial de la raíz de un diente perdido. Tiene forma roscada y está fabricado con materiales biocompatibles, generalmente de titanio, que no producen reacción de rechazo y permiten su unión al hueso. Su superficie puede presentar diferentes texturas y recubrimientos, utilizadas habitualmente para aumentar su adhesión al hueso, osteointegración si es de titanio y biointegración si se trata de un material cerámico.

Conserva tu boca linda y saludable.

La ortodoncia cosmética es una especialidad de la odontología que soluciona problemas relacionados con la salud bucal y la armonía estética de la boca en su totalidad.

Tratamiento de dientes fracturados o lastimados.

El blanqueamiento reduce varios tonos el color original de las piezas dentales, dejando los dientes más blancos y brillantes. No provoca dolor, desgaste ni debilita los dientes. Se utilizan geles que actúan químicamente a través del oxígeno que contienen, reduciendo varios tonos dentro del mismo color de la pieza dentaria. La adición del uso de luces especiales mejora considerablemente el resultado.

Restauración de la anatomía maxilar.

Es un elemento artificial destinado a restaurar la anatomía de una o varias piezas dentarias, restaurando también la relación entre los maxilares, a la vez que devuelve la dimensión vertical, y repone los dientes ausentes.

Restauración estética y funcional en lesiones y pérdidas graves.

Es una especialidad dentro de la odontología que combina en forma integral las áreas de prótesis fija, prótesis removible, operatoria, oclusión e implantología dental, que realiza el diagnóstico y plan de tratamiento adecuado a la necesidad del paciente, buscando recuperar su salud bucal a través de las técnicas más modernas de rehabilitación. A su vez, establece estrecha relación con las demás disciplinas de la odontología, como periodoncia, endodoncia y ortodoncia.

Nos ocupamos del bienestar dental de tus niños.

Es la rama de la odontología encargada de tratar a los niños, se encarga de detectar posibles anomalías en la posición de los maxilares o dientes para remitir al ortodoncista, y de hacer un tratamiento restaurador en caso de necesitarlo. El tratamiento restaurador principalmente consiste en tratar los traumatismos, la colocación de selladores de fosas y fisuras para evitar posibles caries, y en tratar las caries producidas y sus consecuencias.

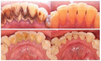
Limpieza del sarro que se acumula en nuestras encías.

Es la eliminación del sarro que se acumula en la superficie dental, el cual es eliminado por medio de un aparato llamado cavitrón o ultrasonido, aunque también puede ser removido de forma manual con curetas especiales diseñadas para dicho fin.

Operación de boca, dientes, cara, cabeza y cuello.

Es una especialidad quirúrgica que incluye el diagnóstico, cirugía y tratamientos relacionados de un gran espectro de enfermedades, tumores, heridas y aspectos estéticos de la boca, dientes, cara, cabeza y cuello; esto incluye extracción de piezas retenidas, impactadas, supernumerarias y cordales o muelas del juicio.

Tratamientos efectivos sin dolor.

Es un protocolo médico en el que se administran fármacos sedantes para facilitar un procedimiento dental y reducir el miedo y la ansiedad de los pacientes.

Prevención contra bacterias en tus cavidades dentales.

Los selladores son materiales que se aplican sobre la superficie dental de molares y premolares, para evitar la acumulación de bacterias en las fisuras, grietas o zonas irregulares de tus dientes.